- 01.03.2014
- 2823 Просмотра
- Обсудить
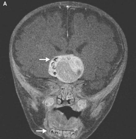
Хирургам из американского штата Мэриленд пришлось провести одну из самых
тяжелых операций в их практике. Родители четырехмесячного мальчика
забили тревогу и обратились к врачам после того, как заметили, что
голова их ребенка растет слишком быстро. Медики провели сканирование и
обнаружили, что в мозге пациента вырос зуб.
Как объяснили перепуганным родителям хирурги и онкологи, это произошло из-за формирования редкой врожденной опухоли - краниофарингиомы, пишет New England Journal of Medicine. Это новообразование в подавляющем большинстве случаев доброкачественное, однако может вырастать до размеров мяча для гольфа и вызывает снижение обоняния, расстройство слуха и зрения, а также повышает внутричерепное давление.
Исследователи всегда подозревали, что эти опухоли, которые появляются у ребенка еще во время беременности, формируются из тех же клеток, что и зубы, поскольку в них обнаруживали большие скопления кальция, но настоящий сформировавшийся зуб до этого случая им находить не приходилось.
Опухоль хирурги успешно удалили, мальчик, по их словам, чувствует себя хорошо. Однако зуб, который вырос в его гипофизе, все же нарушил работу мозга, в частности, правильную выработку гормонов - пациенту придется принимать их до конца жизни.
Этот случай по праву может занять почетное место в списке самых странных операций, проведенных онкологами. А пока в рейтинге лидирует молодой человек из Ирана, которому пришлось лечить волосатый глаз. Странная опухоль в его глазу появилась почти сразу после рождения, однако к 19 годам значительно увеличилась в размерах (до 0,6 см) и мешала закрыть веки, кроме того, из нее начали расти жесткие волосы.
Врачи опухоль удалили и выяснили, что это лимбальный дермоид - крайне редкое, как правило доброкачественное образование. По словам медиков, в том случае, если молодой человек продолжал бы тянуть с лечением, его опухоль могла не только зарасти волосами, но и начать потеть: со временем на новообразованиях нередко появляются соответствующие железы.
Источник
Как объяснили перепуганным родителям хирурги и онкологи, это произошло из-за формирования редкой врожденной опухоли - краниофарингиомы, пишет New England Journal of Medicine. Это новообразование в подавляющем большинстве случаев доброкачественное, однако может вырастать до размеров мяча для гольфа и вызывает снижение обоняния, расстройство слуха и зрения, а также повышает внутричерепное давление.
Исследователи всегда подозревали, что эти опухоли, которые появляются у ребенка еще во время беременности, формируются из тех же клеток, что и зубы, поскольку в них обнаруживали большие скопления кальция, но настоящий сформировавшийся зуб до этого случая им находить не приходилось.
Опухоль хирурги успешно удалили, мальчик, по их словам, чувствует себя хорошо. Однако зуб, который вырос в его гипофизе, все же нарушил работу мозга, в частности, правильную выработку гормонов - пациенту придется принимать их до конца жизни.
Этот случай по праву может занять почетное место в списке самых странных операций, проведенных онкологами. А пока в рейтинге лидирует молодой человек из Ирана, которому пришлось лечить волосатый глаз. Странная опухоль в его глазу появилась почти сразу после рождения, однако к 19 годам значительно увеличилась в размерах (до 0,6 см) и мешала закрыть веки, кроме того, из нее начали расти жесткие волосы.
Врачи опухоль удалили и выяснили, что это лимбальный дермоид - крайне редкое, как правило доброкачественное образование. По словам медиков, в том случае, если молодой человек продолжал бы тянуть с лечением, его опухоль могла не только зарасти волосами, но и начать потеть: со временем на новообразованиях нередко появляются соответствующие железы.
Источник
Интересные новости:
Подписывайтесь на наш Telegram, «X(twitter)» и «Zen.Yandex», «VK», «OK» и новости сами придут к вам..
Подписывайтесь на наш Telegram-канал, «X(twitter)» и «Zen.Yandex», «VK», «OK» и новости сами придут к вам..
Теги
Похожие материалы
Никто не решился оставить свой комментарий.
Будь-те первым, поделитесь мнением с остальными.
Будь-те первым, поделитесь мнением с остальными.
Свежие статьи:
29.11.2025 в 11:04 Учёные предложили создавать стабильные червоточины методом «вырезать и вставить» из двух чёрных дыр
Читать далее
29.11.2025 в 10:53 Эта Кассиопея: ближайшая звёздная система с высокой вероятностью существования жизни
Читать далее
Советы:
Как сохранить чеснок зимой
Читать далее
Основные правила и сроки посадки ягодных культур
Читать далее
Цвет и Полезность Яичного Желтка
Читать далее


